Aller au contenu

Solution informatique développée par une équipe UdeS-ETS

Corrompre les données en santé pour les analyser en toute sécurité

Professeur Pierre-Marc Jodoin, Département d'informatique de la Faculté des sciences.
Professeur Pierre-Marc Jodoin, Département d'informatique de la Faculté des sciences.
Photo : Michel Caron - UdeS

De plus en plus, l’intelligence artificielle (IA) est utilisée pour analyser de l’information médicale, diagnostiquer et assurer les traitements de manière plus efficace. Or les données de santé sont extrêmement sensibles et personnelles, et leur divulgation non autorisée peut avoir de graves conséquences, notamment en ce qui a trait à l’assurance, au vol d’identité et à l’intégrité des données médicales. La sécurité informatique est donc un élément crucial à considérer lors de l’utilisation de l’IA dans le suivi des patientes et patients.

Le professeur Pierre-Marc Jodoin fait partie d’une équipe ayant proposé une solution novatrice pour pallier les problèmes de sécurité liés à la protection des données médicales, particulièrement dans le domaine de l’imagerie médicale. Ces recherches ont été présentées en juin dernier, lors de la prestigieuse conférence Information Processing in Medical Imaging (IPMI) ayant eu lieu à San Carlos de Bariloche, en Argentine.

Traiter les données à l’extérieur des lieux cliniques

Les centres de soins et hôpitaux disposent rarement des infrastructures informatiques nécessaires pour analyser les données à l’aide de l’IA. Pour réaliser les calculs nécessaires, les spécialistes en informatique ont besoin de serveurs et de processeurs spécialisés réservés aux calculs scientifiques.

L’utilisation de logiciels basés sur de l’apprentissage profond requiert des infrastructures spécialisées et coûteuses. Il n’est donc pas économiquement viable pour des hôpitaux ou et des cliniques de se procurer de telles unités de calculs.  Une solution est d’envoyer les données à traiter vers des serveurs de calculs spécialisés situés dans le nuage informatique.

Pr Pierre-Marc Jodoin, Département d’informatique, Faculté des sciences

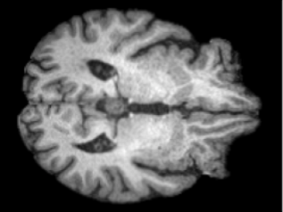
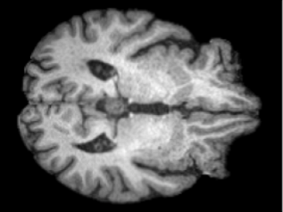
Image d'un cerveau (originale)
Image d'un cerveau (originale)
Photo : Fournie par Pr Jodoin

En ce moment, les compagnies traitant ce type de données peuvent pratiquement garantir la sécurité en matière de cryptage et de sécurité du transfert des données personnelles, c’est-à-dire qu’elles s’engagent à ce que les solutions technologiques soient fiables.  Mais qu’en est-il du facteur humain? Que faire si un employé du centre de calculs ayant accès aux données les utilise de manière malveillante, comme nous avons pu le voir dans l’actualité dans les dernières années? C’est là où la solution de l’équipe de recherche se démarque.

Avoir la bonne clé

Ce que nous avons proposé, c’est d’entraîner un réseau de neurones à corrompre les données avant de les transmettre. Ce sont donc des données corrompues qui sont envoyées aux serveurs de calculs. Donc, même si une personne accède à ces données, elles seront inutilisables. À son tour, le réseau de neurones du serveur traite ces données corrompues – il ne reconnaîtrait même pas les données initiales – et redonne un résultat tout aussi corrompu et illisible, qui est retourné au client qui les a soumises. Ce client a une clé, issue d’un réseau de neurones, permettant de déchiffrer le fichier remis. De cette façon, la personne qui a soumis les données d’origine est la seule pouvant les déchiffrer.

Pr Pierre-Marc Jodoin

Image corrompue d'un cerveau
Image corrompue d'un cerveau
Photo : Fournie par Pr Jodoin

Cette solution pallie les problèmes de malveillance humaine qui peuvent survenir lorsque les données sont accessibles à plusieurs personnes.

Par exemple, dans le domaine de l’imagerie, nous traitons des images 3D où l’on peut voir le visage des gens, et donc les identifier. Avec la solution que nous proposons, les seules personnes ayant accès aux images d’origine sont les personnes soignantes qui connaissent les patients.

Pr Pierre-Marc Jodoin

Ces travaux de recherche sont le point d’orgue de la thèse de M. de Bach Kim, alors étudiant au doctorat auprès du Pr Jodoin.  L’étude a été menée en collaboration avec les professeurs José Dolz et Christian Desrosiers, tous deux de l’ETS.

Les résultats de recherche ont été présentés à l’IPMI, où ils ont été reçus de façon enthousiaste de la part des participantes et participants. Les prochaines étapes du projet ont pour but de valider à grande échelle les performances de cette technologie.


Informations complémentaires